Refleksi Penelitian Ikan: Konsistensi Riset dari PKL hingga Tesis
Ikan merupakan salah satu komoditas unggulan dalam bidang akuakultur yang memiliki peranan penting dalam kehidupan manusia. Perannya tidak hanya menjaga keseimbangan ekosistem perairan, tetapi juga mendukung kepentingan penelitian khususnya di bidang perikanan dan biologi. Selain itu, ikan berperan penting dalam menunjang sektor bisnis dan sektor ekonomi, serta kebutuhan konsumsi masyarakat sehari-hari. Khususnya sektor konsumsi, dalam beberapa tahun terakhir terlihat peningkatan signifikan berdasarkan data Kementerian Kelautan dan Perikanan Republik Indonesia (KKP RI). KKP mencatat konsumsi ikan nasional meningkat dari 54,56 kg/kapita/tahun pada 2020 menjadi 57,61 kg/kapita/tahun pada 2023. Tahun 2024, konsumsi ikan ditargetkan sebesar 59,00 kg/kapita/tahun dan bahkan diproyeksikan dapat mencapai 62,05 kg/kapita/tahun. Laporan kinerja KKP juga menunjukkan adanya variasi antar wilayah, dengan Maluku menempati posisi tertinggi yaitu 82,80 kg/kapita/tahun.
Peningkatan angka konsumsi tersebut menegaskan peran strategis ikan, sehingga sangat representatif untuk dijadikan objek penelitian. Hal ini menunjukkan bahwa ikan memiliki relevansi dan signifikansi tinggi untuk dikaji sepanjang waktu. Hal itu mendorong saya untuk kembali merefleksikan perjalanan penelitian saya yang berfokus pada ikan. Refleksi tersebut saya bagi menjadi tiga periode utama. Periode tersebut meliputi: Praktikum Kerja Lapangan (PKL) pada tahun 2014, penelitian skripsi pada tahun 2016, dan penelitian tesis pada tahun 2023. Ikan menjadi objek yang saya pilih secara linier, meskipun pilihan itu tidaklah mudah untuk dijalani. Konsistensi menggunakan objek penelitian yang sama menghadirkan tantangan tersendiri pada setiap tahap akademik. Pengalaman empiris tidak hanya sekadar memenuhi tuntutan perkuliahan atau kewajiban akademis, melainkan juga membentuk karakter akademik personal. Resiliensi dalam menjaga konsistensi data, ketahanan di lapangan, serta pengulangan metode merupakan pembelajaran hidup yang sangat berharga.
Pengalaman PKL di BPBIAPL, Pangandaran, Jawa Barat
Mata kuliah PKL saya dapatkan pada semester 4, tepatnya saya melaksanakan kegiatan PKL di akhir semester tersebut. Saya memilih lokasi di Balai Perbenihan dan Budidaya Ikan Air Payau dan Laut (BPBIAPL) sebagaimana terlihat pada Gambar 1. Instansi tersebut berada di bawah naungan Dinas Kelautan dan Perikanan Pemerintah Provinsi Jawa Barat yang berlokasi di Kabupaten Pangandaran. Instansi tersebut kini telah berubah nama menjadi UPTD Perikanan Air Payau dan Laut Wilayah Selatan pada tahun 2016. Kabupaten Pangandaran merupakan salah satu daerah pesisir Indonesia yang ditunjang oleh luas pantai dan laut, serta keanekaragaman ikan yang melimpah. Pemilihan lokasi tersebut didasarkan pada beberapa pertimbangan, salah satunya linieritas dengan bidang akademik biologi hewan (zoology) yang saya ambil. Hal tersebut sejalan dengan bidang kerja BPBIAPL, berfokus pada pengembangan budidaya ikan air payau serta pengendalian dan evaluasi program. Bidang kerja yang saya ambil saat itu mencakup tahapan budidaya udang vaname (Litopenaeus vannamei (Boone, 1931)). Tahapan tersebut meliputi pemijahan, pemeliharaan larva, pendederan, pembesaran, hingga panen. Saat menjalani PKL selama kurang lebih satu bulan, saya ikut aktif dalam berbagai kegiatan. Kegiatan tersebut meliputi pemberian pakan, pembersihan rutin bak pemeliharaan (hatchery), serta mengikuti proses pemijahan dan pemanenan udang. Selama proses-proses tersebut, muncul berbagai tantangan yaitu faktor cuaca yang dapat berubah secara fluktuatif, serta risiko penyebaran infeksi yang cepat. Hal tersebut memerlukan tindakan yang cepat, tanggap, efektif, dan efisien. Saya juga mendapatkan banyak pengetahuan praktis dari interaksi dengan staf dan praktisi lapangan. Selama PKL, saya memperoleh banyak aspek keilmuan dan wawasan. Hal tersebut meliputi kontrol kualitas air pemeliharaan, rasio pemberian pakan sesuai bobot udang, serta pemilihan jenis pakan yang tepat. Refleksi yang saya dapatkan meliputi ketelitian dan kecermatan dalam proses budidaya, serta kesiapan menghadapi risiko tidak terduga. Selain itu, saya belajar pentingnya kerja sama tim yang solid dengan staf kantor, praktisi lapangan, laboratorium, dan pihak terkait.

Pengalaman Penelitian Skripsi di Prodi Biologi, Fak. Saintek, UIN SUKA Yogyakarta

Peneliti melalui skripsi ini mengkaji perbandingan gambaran anatomis dan histologis insang serta labirin ikan lele Dumbo (Clarias gariepinus (Burchell, 1822)) dan ikan gabus (Channa striata (Bloch, 1793)). Topik ini disetujui dosen pembimbing serta sesuai bidang minat peneliti, yakni biologi fungsional dan perkembangan hewan. Selain itu, pengalaman saat PKL menjadi landasan kuat untuk tetap memilih objek hewan akuatik.
Kajian difokuskan pada tiga aspek perbandingan, yaitu struktur anatomis, histologis, dan morfometri organ insang serta labirin kedua ikan tersebut. Pertimbangan ini berkaitan dengan habitat ikan lele Dumbo dan ikan gabus yang mampu bertahan hidup pada lingkungan dengan kadar oksigen rendah. Hal tersebut merupakan suatu kondisi unik yang jarang dimiliki jenis ikan lain, sehingga memberikan nilai kebaruan dalam penelitian. Penelitian dilakukan di Laboratorium Terpadu Fakultas Sains dan Teknologi UIN Sunan Kalijaga, khususnya di Unit Laboratorium Fisiologi Hewan dan Zoologi.
Metode penelitian yang digunakan meliputi pengamatan makroanatomi, mikroteknik metode parafin, dan pengukuran morfometri struktur insang dan labirin. Mikroteknik merupakan metode yang memiliki tantangan dan kesulitan tersendiri dibandingkan dua metode lainnya. Penerapan metode ini memerlukan proses panjang dan berkelanjutan dengan kehati-hatian yang tinggi. Tahapan histologi menuntut waktu presisi dan kekeliruan sedikit saja dapat memengaruhi kualitas hasil. Tantangan utama adalah lamanya proses pengambilan data dalam satu kali pengujian. Penelitian ini menuntut konsistensi, kesabaran, serta ketahanan dalam melakukan pengambilan data berulang.
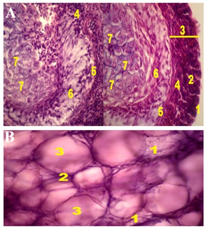
Temuan penelitian menunjukkan hal-hal penting mengenai proses adaptasi pernapasan pada ikan lele Dumbo dan ikan gabus. Secara makroanatomi, insang kedua ikan tersebut relatif memiliki struktur, warna, dan topografi yang sama. Perbedaan tampak pada organ labirin, yakni labirin ikan lele Dumbo berbentuk seperti bunga karang dengan banyak percabangan. Hal ini berbeda dengan labirin ikan gabus yang lebih padat, memipih, serta memiliki pinggiran bergerigi menyerupai bunga mawar. Terlepas perbedaan bentuk, kedua labirin berfungsi sebagai adaptasi unik memungkinkan ikan mengambil oksigen udara selain insang. Labirin berperan menyimpan cadangan oksigen, sehingga ikan mampu bertahan di perairan dengan kadar oksigen rendah, seperti lingkungan berlumpur atau saat musim kemarau. Kajian histologis kedua organ dari dua jenis ikan tersebut menunjukkan bahwa insang dan labirin memiliki struktur histologis yang sama. Labirin khususnya, tersusun atas jaringan epitel, lamina basal, jaringan ikat longgar, kapiler darah, dan tulang rawan, adapun struktur lengkapnya tersaji pada Gambar 2. Pengukuran morfometri menunjukkan kesamaan nilai antara bobot insang dan labirin pada rongga kanan maupun kiri (Karlina & Luthfi, 2018, Maina, 2018). Refleksi penelitian yang saya peroleh adalah pentingnya daya juang, ketelitian, serta kesabaran dalam menjalani proses panjang. Pengambilan data dan pengulangan eksperimen merupakan tahapan yang menguji konsistensi. Ketelitian dalam mengatur waktu pada tiap tahap metode menuntut kecermatan tinggi. Proses perbaikan naskah dengan bimbingan dosen hingga ujian skripsi menjadi pengalaman berharga melatih ketekunan dan komitmen. Pengalaman tersebut juga membentuk kesiapan peneliti dalam menghadapi berbagai tantangan akademik maupun ilmiah. Refleksi ini menegaskan bahwa penelitian tidak hanya menghasilkan data, tetapi juga membentuk profesionalisme, etos kerja, dan adaptasi.
Pengalaman Penelitian Tesis di Prodi Magister Biologi, Fakultas Biologi, UGM
Ikan lele di Indonesia masih menjadi salah satu sumber protein hewaniyang sesuai untuk berbagai kalangan masyarakat dengan harga relatif terjangkau. Membudidayakan lele berkualitas membutuhkan pengetahuan pemeliharaan yang tepat serta pemahaman mengenai mekanisme adaptasinya. Hal tersebut semakin memantapkan pilihan untuk menjadikan lele kembali sebagai objek penelitian. Peneliti mengambil topik mengenai morfologis, anatomis, serta histologis insang dan arborescent ikan lele Mutiara. Istilah arborescent digunakan untuk merujuk pada organ labirin, dengan pertimbangan terminologi yang lebih ilmiah dan khusus.
Penelitian ini memiliki keterkaitan linier dengan studi sebelumnya, dengan beberapa aspek yang ditingkatkan untuk memperoleh analisis lebih komprehensif. Aspek yang ditingkatkan mencakup pengamatan tahap perkembangan mulai dari larva, juvenil, pasca juvenil hingga pradewasa selama 90 hari. Selain itu, pergantian galur dilakukan dari lele Dumbo ke lele Mutiara sebagai fokus penelitian terbaru. Lele Mutiara dikenal sebagai galur unggulan dengan sejumlah kelebihan. Kelebihan tersebut meliputi pertumbuhan cepat, efisiensi pakan, kandungan protein cukup tinggi berkisar 17%–22%, serta ketahanan terhadap cekaman lingkungan (Karlina et al., 2025).
Penelitian ini juga membandingkan pewarnaan histologis Hematoksilin–Eosin (H&E) dan Masson’s Trichrome, serta menggunakan analisis statistik kuantitatif yang lebih kompleks. Lokasi penelitian di Laboratorium Struktur Perkembangan Hewan (SPH) dan kolam pemeliharaan ikan Fakultas Biologi, UGM. Tahapan metode meliputi proses pemeliharaan lele, pengamatan struktur morfologis dan anatomis, serta pembuatan preparat histologis. Tahap pemeliharaan mencakup penyiapan kolam, pemeliharaan larva, pengaturan feed conversion ratio (FCR), kualitas air, suhu, dan pengendalian penyakit. Tahap yang dirasakan paling kompleks oleh peneliti adalah pemeliharaan lele Mutiara pada kondisi fluktuasi suhu dan parameter lingkungan.
Melimpahnya data yang kompleks menjadi tantangan tersendiri dalam penyusunan naskah tesis. Selain itu, tantangan di lapangan juga beragam, salah satunya adalah fluktuasi kondisi lingkungan yang memengaruhi keberhasilan pemeliharaan. Peneliti juga mengombinasikan metode yang tepat berdasarkan berbagai sumber referensi serta perlu menyesuaikan berbagai acuan, baik dari jurnal, buku, Standar Nasional Indonesia (SNI), maupun hasil konsultasi dengan pembudidaya langsung dengan kondisi nyata di lapangan. Semua hal tersebut menjadi tantangan bagi peneliti dalam meramu dan mengombinasikan metode yang paling tepat.
Salah satu temuan dalam penelitian ini yaitu parameter kualitas air dan lingkungan sangat berpengaruh terhadap proses pertumbuhan dan stamina lele Mutiara. Parameter tersebut meliputi suhu, kelembaban, kadar amonia, kadar keasaman (pH), Dissolved Oxygen (DO), Biochemical Oxygen Demand (BOD), serta Chemical Oxygen Demand (COD). Pemberian rasio pakan harus sesuai, jika tidak, akumulasi amonia yang toksik dapat membahayakan ikan. Kualitas air juga sangat berpengaruh terhadap keberhasilan budidaya ikan lele. Hasil konsultasi dengan pembudidaya dan literatur menunjukkan dua faktor utama keberhasilan budidaya yaitu kualitas air dan pakan.
Berdasarkan hasil penelitian dan referensi terkait, kualitas air pemeliharaan ikan lele harus dijaga agar mendukung pertumbuhan optimal. Suhu ideal berkisar 25–30°C, pH 6,5–8,0, dan kadar oksigen terlarut minimal 3/>2 mg/L. Amonia sebaiknya 0,01/<0,1 mg/L karena bersifat toksik. Kadar BOD dan COD sebaiknya masing-masing <25 dan <40 mg/L, serta kesadahan air 50–150 mg/L CaCO₃ untuk menjaga kestabilan pH dan metabolisme ikan. Kondisi lingkungan yang sesuai dapat mendorong pertumbuhan tubuh ikan lele, sehingga peningkatan bobot tubuh diikuti oleh peningkatan bobot insang dan arborescent. Hal itu tersaji dalam bentuk grafik pada Gambar 3, yang menggambarkan hubungan antara pertumbuhan dan bobot organ (Badan Standardisasi Nasional, 2015; Karlina et al., 2025).
Refleksipenelitian yang diperoleh adalah sikap terbuka terhadap berbagai metode serta ketahanan menghadapi kondisi lapangan. Peneliti yang sering terlibat di lapangan akan semakin terampil sehingga mampu menghasilkan formulasi metode yang lebih tepat. Sikap konsisten pada topik penelitian dan kemampuan mencari solusi atas setiap permasalahan menjadi sangat penting. Pengalaman tersebut menjadi bekal berharga yang menumbuhkan nilai komitmen, konsistensi, ketelitian, kehati-hatian, tanggung jawab, kedewasaan, dan keterbukaan dalam kehidupan mendatang.

Refleksi Akhir
Berdasarkan pengalaman PKL, saya belajar pentingnya ketelitian, kesiapan menghadapi risiko, serta kemampuan bekerja sama dengan tim lintas bidang. Penelitian skripsi menegaskan nilai kesabaran dan ketekunan dalam proses panjang, sekaligus membentuk profesionalisme serta etos kerja akademik. Sementara itu, penelitian tesis memperkuat sikap terbuka terhadap berbagai metode, konsistensi topik, dan ketahanan menghadapi kondisi lapangan yang kompleks. Rangkaian pengalaman tersebut menegaskan bahwa ikan merupakan salah satu hewan yang representatif dalam berbagai bidang kepentingan. Tingginya permintaan pasar terhadap produk ikan harus diimbangi dengan luaran penelitian yang komprehensif.
Peneliti berharap seluruh proses maupun hasil penelitian dapat memberikan kebermanfaatan nyata. Kebermanfaatan tersebut diharapkan hadir dalam bentuk sumbangsih referensi keilmuan, baik pada aspek morfologis, anatomis, histologis, maupun praktik budidaya. Harapan lain adalah agar penelitian ini tidak hanya sekedar bernilai ilmiah tetapi juga diharapkan memberi dampak sosial melalui kontribusi bagi masyarakat, terutama pembudidaya lele. Keberlanjutan tentunya sangat diharapkan oleh peneliti untuk dapat diteruskan oleh peneliti lain, serta menjadi rujukan untuk pelengkap penelitian berikutnya. Ikan, bagi peneliti, bukan hanya sekadar objek penelitian, melainkan juga cermin kehidupan yang mengajarkan kesabaran, ketekunan, serta makna kontribusi. Komitmen dan rasa tanggung jawab menjadi nilai penting yang ditegaskan kembali dalam perjalanan akademik ini. Pemilihan objek penelitian, baik yang sama maupun berbeda, memiliki nilai berharga tersendiri. Objek yang berbeda bisa diartikan sebagai simbol keberanian untuk mengeksplorasi hal-hal baru, sedangkan objek yang sama menunjukkan konsistensi dalam pilihan penelitian. Keduanya tetap bernilai sepanjang menghadirkan kebaruan, relevansi, serta kebermanfaatan bagi pembangunan di Indonesia. “Setiap individu memiliki nilai berharga melalui prosesnya masing-masing, ditempa oleh bidang yang dipilih untuk berkontribusi”.
Referensi
Badan Standardisasi Nasional. 2015. SNI 8122:2015 Pembesaran ikan lele (Clarias sp.)intensif dengan sistem pergantian air. Jakarta: Badan Standardisasi Nasional
Balai Pengembangan Budidaya Ikan Air Payau dan Laut Wilayah Selatan. 2016. Profil unit kerja [Gambar]. Kementerian Kelautan dan Perikanan. https://dkp.jabarprov.go.id/profilpaplws
Karlina, I., & Luthfi, M. J. 2018. Comparative anatomy of labyrinth and gill of catfish (Clarias gariepinus) (Burchell, 1822) and snakehead fish (Channa striata) (Bloch, 1793). Biology, Medicine, & Natural Product Chemistry. 7(2): 39-43. https://doi.org/10.14421/biomedich.2018.72.39-43
Karlina, I. 2024. Tahap Perkembangan Struktur Insang dan Arborescent Ikan Lele Mutiara (Clarias gariepinus (Burchell, 1822)). Tesis. Universitas Gadjah Mada, Yogyakarta.
Karlina, I., Nuriliani, A., Rohmah, Z., & Sari, D. W. K. 2025. Morphometry of the gill and arborescent structures of Clarias gariepinus (Burchell, 1822) at different developmental stages. Jurnal Penelitian Perikanan Indonesia (JPPI). 31(2): 50-62. https://doi.org/10.15578/jppi.31.2.2025.%25p
Kementerian Kelautan dan Perikanan Republik Indonesia. 2024. Laporan Kinerja Kementerian Kelautan dan Perikanan 2023 (https://kkp.go.id). Diakses tanggal 25 September 2025.
Maina, J. N. 2018. Functional morphology of the respiratory organs of the air-breathing fish with particular emphasis on the African catfishes, Clarias mossambicus and C. gariepinus. Acta Histochemica. 120: 613-622. https://doi.org/10.1016/j.acthis.2018.08.007
Mbanga, B., Dyk, C. V., & Maina, J. N. 2018. Morphometric and morphological study of the respiratory organs of the bimodally-breathing African sharptooth catfish (Clarias gariepinus) Burchell (1822). Zoology. 130: 6-18. https://doi.org/10.1016/j.zool.2018.07.005
Tulisan oleh:
%20-%20Ina.jpg)
Ina Karlina, S.Si., M.Sc.
Magister Biologi
Persiapan Keberangkatan (PK) 187
Angkatan Awardee: 2022 Gasal (Alumni)
Bidang Keilmuan: Biologi Fungsional & Perkembangan (Animal Microtechnique – Zoology)
Reviewer:
Awalia Nur Sakinah
Magister Kesehatan Masyarakat
Fakultas Kedokteran, Kesehatan Masyarakat dan Keperawatan



